新着情報
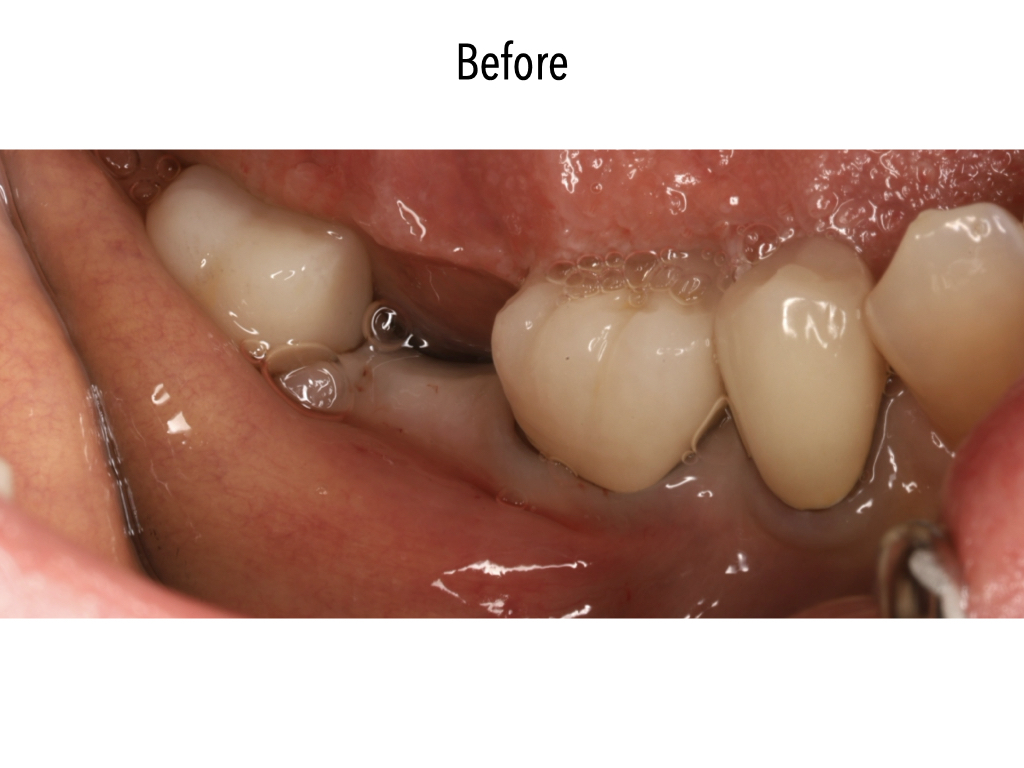
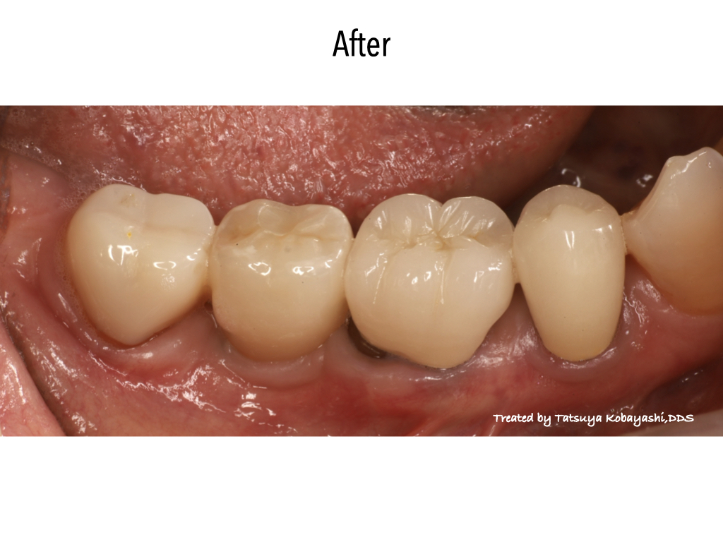
症例 インプラント治療

歯がに部分にインプラントを行う、欠損補綴(けっそんほてつ)治療です。
| 主訴 | 奥歯で噛めるようになりたい。 |
|---|---|
| 治療内容 | 臼歯部1本 インプラント治療 |
| 治療期間 | 5ヶ月 |
| 治療費(税込) | 616,000円 |
| リスク・副作用 | ・インプラントを行った後、しっかりと定期検診を行わないとインプラント周囲円になる可能性があります。 ・手術が必要になります。 |
監修者情報

こばやし歯科医院
〒185-0012
東京都国分寺市本町2-9-21
Tel:042-400-2004
院長 小林 達也
| 経歴 | 日本歯科大学新潟生命歯学部 卒業 日本歯科大学新潟生命歯学部 臨床研修 医療法人社団幸誠会たぼ歯科医院 勤務 国家公務員共済組合連合会立川病院 歯科口腔外科 非常勤勤務 こばやし歯科医院 開院 |
|---|---|
| 資格 | 日本歯周病学会 専門医 臨床研修指導医 |


